Gingivektomi , Gingivoplasti ve Diş Eti Rekonturjisi Tedavileri Sunuyor
Dental Star’da, deneyimli ve alanında uzman diş hekimleri tarafından gingivektomi ve gingivoplasti başta olmak üzere çeşitli diş eti tedavileri uygulanmaktadır. Bu işlemler, diş etlerinin hem sağlığını hem de estetik görünümünü iyileştirmeyi amaçlar.
Gingivektomi, periodontal problemlere yol açabilen fazla diş eti dokusunun kontrollü bir şekilde alınmasını içerirken; gingivoplasti ise diş etlerinin daha estetik ve doğal bir görünüme kavuşması için yeniden şekillendirilmesini kapsar. Uzman diş hekimleri, bu prosedürleri hastaya minimum rahatsızlık verecek şekilde modern ve gelişmiş teknikler kullanarak gerçekleştirir.
Gingivektomi, gingivoplasti veya Dental Star’da sunulan diğer diş eti tedavileri hakkında detaylı bilgi almak için uzman diş hekimleriyle görüşebilirsiniz. Yapılacak değerlendirme sonrasında, diş etlerinizin sağlığını ve estetik görünümünü en iyi seviyeye taşıyacak kişiye özel tedavi planı oluşturulur.
1. Gingivoplasti ve gingivektomi nedir?
Gingivoplasti ve gingivektomi, diş etlerinin tedavisini içeren diş prosedürleridir. Tipik olarak diş eti hastalığının teşhis ve tedavisini bir diş hekimi veya periodontist gerçekleştirir.
Gingivoplasti, diş eti dokusunun görünümünü iyileştirmek amacıyla yeniden şekillendirmek veya konturlamak için yapılan cerrahi bir prosedürdür. Genellikle diş eti çekilmesi, düzensiz diş eti çizgisi veya dişleri kaplayan aşırı diş eti dokusu gibi sorunları gidermek için yapılır. Gingivoplasti sırasında periodontist, estetik açıdan daha hoş bir diş eti çizgisi oluşturmak için diş eti dokusunu çıkarmak veya yeniden şekillendirmek için bir neşter veya lazer kullanacaktır.
Gingivektomi ise hastalıklı veya hasarlı diş eti dokusunu çıkarmak için uygulanan cerrahi bir prosedürdür. Genellikle diş eti dokusunun iltihaplandığı ve dişlerden ayrılmaya başladığı ileri periodontal hastalık vakalarını tedavi etmek için yapılır. Gingivektomi sırasında periodontist, hastalıklı diş eti dokusunu çıkarmak ve dişlerin tabanına daha yakın yeni bir diş eti çizgisi oluşturmak için bir neşter veya lazer kullanacaktır. Bu prosedür diş ve diş etlerinin daha fazla zarar görme riskini azaltmaya ve etkilenen bölgenin iyileşmesini desteklemeye yardımcı olabilir.
Özetle, gingivoplasti estetik nedenlerle diş eti dokusunu yeniden şekillendiren kozmetik bir prosedürken, gingivektomi periodontal hastalığı tedavi etmek için hastalıklı diş eti dokusunu çıkaran cerrahi bir prosedürdür.
2. Gingivektomi/gingivoplastinin avantajları nelerdir?
Gingivektomi ve gingivoplastinin avantajları şunlardır:
Geliştirilmiş görünüm:
Gingivoplasti, estetik açıdan daha hoş bir diş eti çizgisi oluşturmak için diş etlerini yeniden şekillendirerek diş etlerinin görünümünü iyileştirebilir. Bu, dişlerin ve gülümsemenin genel görünümünü iyileştirebilir.
Diş eti hastalığı riskinde azalma:
Gingivektomi, hastalıklı veya hasarlı diş eti dokusunu çıkararak diş ve diş etlerinin daha fazla zarar görme riskini azaltabilir ve diş eti hastalığının ilerlemesini önleyebilir.
Daha iyi ağız hijyeni:
Gingivoplasti, dişlerin düzgün bir şekilde temizlenmesini zorlaştırabilen fazla diş eti dokusunu ortadan kaldırarak iyi bir ağız hijyeninin sürdürülmesini kolaylaştırabilir.
Artırılmış konfor:
Gingivektomi, iltihaplı veya enfekte diş eti dokusunun neden olduğu rahatsızlığı hafifleterek yemek yemeyi, sıcak-soğuk içecekler içmeyi ve konuşmayı daha rahat hale getirebilir.
Daha hızlı iyileşme:
Gingivoplasti ve gingivektomi, tipik olarak kısa bir iyileşme süresine sahip minimal invaziv prosedürlerdir ve hastaların normal aktivitelerine hızlı bir şekilde dönmelerine olanak tanır.
Uzun ömürlü sonuçlar:
Her iki prosedür de uzun süreli sonuçlar sağlayarak diş etlerinin sağlığını ve görünümünü yıllar boyunca iyileştirebilir.
3. Kimler gingivektomi/gingivoplasti için adaydır?
Diş eti hastalığı, düzensiz diş eti çizgileri veya fazla diş eti dokusu olan hastalar gingivektomi veya gingivoplasti için aday olabilir. Bir periodontist veya diş hekimi, prosedürün gerekli ve uygun olup olmadığını belirlemek için hastanın diş etlerini ve dişlerini değerlendirecektir.
Gingivektomi adayları tipik olarak diş etlerinin dişlerden uzaklaşmasına neden olan, bakterileri barındıran ve daha şiddetli diş eti hastalığının gelişimini destekleyen cepler oluşturan ileri diş eti hastalığına sahiptir. Diş etlerinde ağrı, kanama veya şişlik yaşayan hastalar da gingivektomi için aday olabilir.
Gingivoplasti adayları tipik olarak düzensiz bir diş eti çizgisine, dişleri örten fazla diş eti dokusuna veya diş etlerinin görünümüyle ilgili diğer estetik kaygılara sahiptir. Prosedür genellikle dişlerin ve diş etlerinin genel görünümünü iyileştirmek ve daha dengeli ve estetik açıdan hoş bir gülümseme oluşturmak için yapılır.
Genel olarak, gingivektomi ve gingivoplasti için en iyi adaylar ağız sağlığı iyi olan ve prosedürün sonucu hakkında gerçekçi beklentileri olan kişilerdir. İyileşme sürecini etkileyebilecek altta yatan tıbbi sorunları olan hastalar bu prosedürler için iyi adaylar olmayabilir. Bir periodontist veya diş hekimi ile yapılacak konsültasyon, gingivektomi veya gingivoplastinin bireysel bir hasta için doğru seçim olup olmadığını belirlemeye yardımcı olabilir.
4. Gingivektomi/gingivoplasti prosedürü nedir?
Gingivektomi ve gingivoplasti prosedürü aşağıdaki gibidir:
Bölgenin uyuşturulması:
İşlem sırasında ağrı ve rahatsızlığı en aza indirmek için diş etleri lokal anestezi kullanılarak uyuşturulur.
Kesi:
Gingivektomi için periodontist ya da diş hekimi, hastalıklı veya fazla dokuyu çıkarmak için diş eti dokusunda bir kesi yapacaktır. Gingivoplasti için periodontist veya diş hekimi bir neşter veya lazer kullanarak diş eti dokusunu yeniden şekillendirecektir.
Doku çıkarma:
Periodontist veya diş hekimi, bir neşter veya lazer kullanarak hedeflenen diş eti dokusunu dikkatlice çıkaracak ve diş etlerini gerektiği gibi şekillendirecektir.
Şekillendirme:
Doku çıkarıldıktan sonra periodontist veya diş hekimi, estetik açıdan daha hoş bir şekil ve diş eti çizgisi oluşturmak için kalan diş eti dokusunu şekillendirecektir.
Temizleme ve dikiş atma:
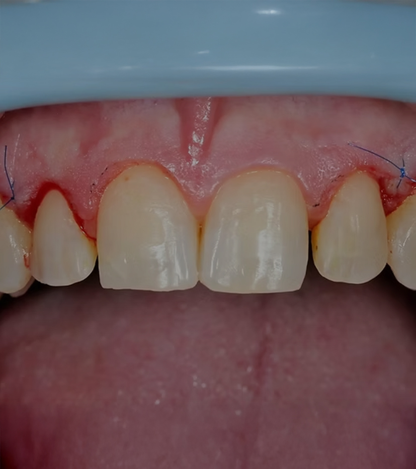
İşlem tamamlandıktan sonra diş etleri iyice temizlenir ve iyileşmeyi desteklemek için dikişler atılabilir.
Takip:
Hastalar genellikle diş etlerinin düzgün bir şekilde iyileştiğinden emin olmak ve gerekirse dikişleri almak için diş hekimine veya periodontiste bir takip randevusu için geri dönecektir.
Prosedürün kesin adımları, gingivektomi veya gingivoplastinin kapsamına ve periodontist veya diş hekimi tarafından kullanılan tekniklere bağlı olarak değişebilir. Genel olarak, prosedür tipik olarak minimal invazivdir ve genellikle tek bir ofis ziyaretinde tamamlanabilir.
5. Gingivoplasti veya gingivektominin herhangi bir komplikasyon riski var mıdır?
Her cerrahi prosedürde olduğu gibi, gingivoplasti veya gingivektomi ile ilişkili bazı komplikasyon riskleri her zaman vardır, ancak bunlar nadirdir. Prosedürlerin bazı potansiyel riskleri ve komplikasyonları şunlardır:
Kanama:
İşlem sırasında ve sonrasında bir miktar kanama olabilir. Diş hekiminiz veya periodontistiniz oluşabilecek kanamaları nasıl yöneteceğiniz konusunda size talimatlar verecektir.
Enfeksiyon:
Her cerrahi işlemin ardından enfeksiyon riski vardır. Diş hekiminiz veya periodontistiniz enfeksiyon riskini azaltmak için antibiyotik reçete edebilir.
Şişme:
Gingivektomi veya gingivoplasti sonrasında diş etlerinde ve çevre dokularda şişme yaygındır. Bölgeye buz uygulamak şişliği azaltmaya yardımcı olabilir.
Hassasiyet:
Hastalar işlemden sonra sıcak ve soğuğa karşı hassasiyet yaşayabilir. Bu genellikle birkaç gün içinde kendiliğinden düzelir.
Diş eti çekilmesi:
Bazı durumlarda, gingivektomi sırasında diş eti dokusunun çıkarılması diş kökünün açığa çıkması anlamına gelen diş eti çekilmesine yol açabilir. Bu durum hassasiyete neden olabilir ve çürüme riskini artırabilir.
Doğru iyileşmeyi sağlamak ve olası komplikasyonları ele almak için ameliyat sonrası talimatları dikkatle takip etmek ve diş hekiminiz veya periodontistinizle takip randevularına katılmak önemlidir.
6. Gingivektomi/Gingivoplasti Ameliyat Sonrası Talimatlar
Gingivektomi veya gingivoplasti sonrası bazı genel ameliyat sonrası talimatları aşağıda bulabilirsiniz:
Dinlenme ve iyileşme:
İşlemden sonra ilk birkaç gün dinlenmek ve yorucu aktivitelerden kaçınmak önemlidir.
Ağrı yönetimi:
Diş hekiminiz veya periodontistiniz herhangi bir rahatsızlığı yönetmek için ağrı kesici ilaç yazabilir veya reçetesiz satılan ağrı kesici ilaçlar önerebilir.
Buz:
Etkilenen bölgeye her seferinde 15 ila 20 dakika boyunca buz torbası uygulamak şişliği azaltmaya yardımcı olabilir.
Ağız hijyeni:
İşlemden sonra iyi bir ağız hijyeni sağlamak önemlidir, ancak ilk birkaç gün ameliyat bölgesinde diş fırçalamaktan veya diş ipi kullanmaktan kaçının. İyileşme sürecinde kullanmanız için size özel bir gargara verilebilir.
Diyet:
İşlemden sonraki ilk birkaç gün yumuşak gıdalarla beslenin. Diş etlerini tahriş edebilecek sıcak, baharatlı veya asitli yiyeceklerden kaçının.
Takip randevuları:
Diş hekiminiz veya periodontistiniz iyileşme sürecini izlemek ve gerekirse dikişleri almak için takip randevuları planlayacaktır.
Doğru iyileşmeyi sağlamak ve komplikasyon riskini en aza indirmek için diş hekiminizin veya periodontistinizin talimatlarına dikkatle uymanız önemlidir. İşlemden sonra aşırı kanama, şişme veya ağrı hissederseniz hemen diş hekiminize veya periodontistinize başvurun.
7. Sıkça Sorulan Sorular | gingivoplasti ve gingivektomi
Gingivoplasti veya gingivektomi sonrası iyileşme ne kadar sürer?
İyileşme süresi prosedürün kapsamına bağlı olarak değişebilir, ancak çoğu hasta birkaç gün ila bir hafta içinde normal aktivitelerine dönebilir. Hastalar, uygun iyileşmeyi sağlamak için ameliyat sonrası talimatları dikkatle takip etmelidir.
Gingivektomiden sonra diş etlerim tekrar büyür mü?
Gingivektomi sırasında çıkarılan diş eti dokusu tekrar büyümez. Bununla birlikte, kalan diş eti dokusu yenilenebilir ve iyileşerek dişlerin tabanına daha yakın yeni bir diş eti çizgisi oluşturabilir.
Gingivoplasti veya gingivektominin sonuçları ne kadar sürer?
Gingivoplasti veya gingivektominin sonuçları, uygun ağız hijyeni ve düzenli diş muayeneleri ile uzun yıllar sürebilir. Bununla birlikte, diş eti hastalığının veya diğer sorunların tekrarlamasını önlemek için iyi ağız hijyeni uygulamalarını sürdürmek önemlidir.